Βρογχοπνευμονική δυσπλασία: αιτίες, συμπτώματα και θεραπεία

0
131
Bronchopulmoninė displazija

Η βρογχοπνευμονική δυσπλασία χαρακτηρίζεται από παθολογική ανάπτυξη του πνευμονικού ιστού, προκαλώντας φλεγμονή και δημιουργία ουλών στους πνεύμονες. Η πάθηση εμφανίζεται κυρίως σε πρόωρα νεογνά που έχουν γεννηθεί πριν από την 32η εβδομάδα κύησης με χαμηλό βάρος γέννησης. Συχνά σχετίζεται με θεραπείες απαραίτητες για την υποστήριξη της αναπνοής των πρόωρων βρεφών – όπως η μακροχρόνια χρήση μηχανικού αερισμού και η χορήγηση υψηλών ποσοτήτων οξυγόνου. Η συγκεκριμένη κατάσταση ενδέχεται να έχει σημαντικές επιπτώσεις στην αναπνευστική υγεία και τη συνολική ευεξία των νεογνών.

Αιτίες της βρογχοπνευμονικής δυσπλασίας

Ο κύριος παράγοντας πρόκλησης βρογχοπνευμονικής δυσπλασίας είναι ο συνδυασμός της πρόωρης γέννησης με τις ανάγκες για υποστηρικτικές θεραπείες διατήρησης της ζωής. Αυτές οι παρεμβάσεις μπορούν να οδηγήσουν σε βλάβη και φλεγμονή των πνευμόνων. Παράγοντες που συμβάλλουν στην ανάπτυξη της πάθησης είναι:

  • Μηχανικός αερισμός: Η υποβοήθηση της αναπνοής με μηχανήματα μπορεί να τραυματίσει τον ευαίσθητο πνευμονικό ιστό των πρόωρων νεογνών.
  • Θεραπεία με οξυγόνο: Υψηλές συγκεντρώσεις οξυγόνου, παρότι αναγκαίες, ενδέχεται να είναι τοξικές για τους ανώριμους πνεύμονες των πρόωρων παιδιών.
  • Λοιμώξεις: Οι λοιμώξεις στα νεογνά μπορούν να επιδεινώσουν τις πνευμονικές βλάβες και τη φλεγμονή.
  • Φλεγμονώδεις μηχανισμοί: Η χρόνια φλεγμονή που ακολουθεί διάφορες βλάβες επηρεάζει αρνητικά την ομαλή ανάπτυξη των πνευμόνων.

Συμπτώματα της βρογχοπνευμονικής δυσπλασίας

Πρώιμες εκδηλώσεις

Τα αρχικά σημεία της βρογχοπνευμονικής δυσπλασίας σε βρέφη μπορεί να περιλαμβάνουν:

  • Ταχεία αναπνοή (ταχύπνοια)
  • Δυσκολίες στην αναπνοή, με εμφανείς ανασπάσεις στο θώρακα κατά την προσπάθεια
  • Συριγμός ή ήχοι από τα πνευμόνια κατά την ακρόαση
  • Κυάνωση, δηλαδή γαλαζωπή χροιά του δέρματος λόγω έλλειψης οξυγόνου
  • Δυσκολίες στη σίτιση και ανεπαρκή πρόσληψη βάρους

Μακροπρόθεσμα συμπτώματα

Καθώς τα παιδιά με βρογχοπνευμονική δυσπλασία αναπτύσσονται, μπορεί να συνεχίσουν να εμφανίζουν αναπνευστικές δυσκολίες, όπως:

  • Επίμονος βήχας
  • Αυξημένη συχνότητα λοιμώξεων του αναπνευστικού
  • Συμπτώματα που μοιάζουν με άσθμα
  • Καθυστερήσεις φυσιολογικής ανάπτυξης ή αντιληπτή υστέρηση στη σωματική εξέλιξη

Διάγνωση της βρογχοπνευμονικής δυσπλασίας

Η διάγνωση περιλαμβάνει αξιολόγηση από ειδικούς, απεικονιστικές εξετάσεις και εργαστηριακό έλεγχο. Τα βασικά εργαλεία για τη διαγνωστική προσέγγιση είναι:

Απεικονιστικές εξετάσεις

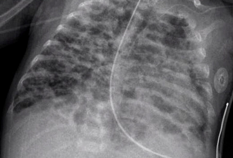
Η ιατρική απεικόνιση είναι καθοριστική για τη διάγνωση της βρογχοπνευμονικής δυσπλασίας. Ακτινογραφίες θώρακα και αξονική τομογραφία δείχνουν αλλοιώσεις στη δομή των πνευμόνων, όπως υπερδιάταση, σύμπτωση τμημάτων (ατελεκτασία) και ίνωση (ουλοποίηση του ιστού).

Κλινική αξιολόγηση

Οι ιατροί εξετάζουν το ιστορικό του βρέφους, λαμβάνοντας υπόψη την ηλικία κύησης κατά τη γέννηση, τη διάρκεια έκθεσης σε οξυγόνο και την παρουσία αναπνευστικών δυσκολιών. Η κλινική εξέταση επικεντρώνεται στα σημεία χρόνιας πνευμονικής νόσου και λειτουργίας της αναπνοής.

Εργαστηριακές εξετάσεις

Γίνονται συνήθως αιματολογικές αναλύσεις για την εκτίμηση των επιπέδων οξυγόνου και διοξειδίου του άνθρακα, αλλά και για τον εντοπισμό λοιμώξεων ή δεικτών φλεγμονής.

Αντιμετώπιση και διαχείριση της βρογχοπνευμονικής δυσπλασίας

Η αντιμετώπιση εστιάζει σε μια ολιστική προσέγγιση εξατομικευμένη για κάθε βρέφος. Στόχοι της θεραπείας είναι η ελαχιστοποίηση της περαιτέρω βλάβης στους πνεύμονες, η καταπολέμηση της φλεγμονής και η ενίσχυση της συνολικής ανάπτυξης και προόδου του παιδιού.

Αναπνευστική υποστήριξη

  • Θεραπεία με οξυγόνο: Ο έλεγχος και η ρύθμιση της χορήγησης οξυγόνου βοηθούν στη διατήρηση επαρκών επιπέδων οξυγόνου χωρίς να αυξάνουν το ρίσκο νέων πνευμονικών βλαβών.
  • Μηχανικός αερισμός: Σε σοβαρά περιστατικά ενδέχεται να απαιτείται μηχανική υποστήριξη της αναπνοής, ωστόσο γίνεται προσπάθεια να διακοπεί το συντομότερο για να αποφευχθούν περαιτέρω βλάβες.
  • Συνεχής θετική πίεση αεραγωγών (CPAP): Η CPAP βοηθά στη διατήρηση ανοιχτών αεραγωγών, μειώνοντας την ανάγκη για επεμβατική υποστήριξη.

Φαρμακευτική αγωγή

  • Βρογχοδιασταλτικά: Αυτά τα φάρμακα διευρύνουν τους αεραγωγούς, διευκολύνοντας την αναπνοή του βρέφους.
  • Διουρητικά: Χρησιμοποιούνται για την αποφυγή κατακράτησης υγρών και τη μείωση του κινδύνου πνευμονικού οιδήματος.
  • Κορτικοστεροειδή: Σε ορισμένες περιπτώσεις χορηγούνται στεροειδή για τον περιορισμό της φλεγμονώδους αντίδρασης στους πνεύμονες, με παρακολούθηση για πιθανές παρενέργειες.

Διατροφική υποστήριξη

Η σωστή διατροφή είναι απαραίτητη για την ανάπτυξη των βρεφών με βρογχοπνευμονική δυσπλασία. Συχνά απαιτείται διατροφή με αυξημένες θερμίδες ή συμπληρώματα προκειμένου να καλυφθούν οι ανάγκες σωματικής ανάπτυξης και υγείας.

Έλεγχος λοιμώξεων

Η πρόληψη και η άμεση διαχείριση των λοιμώξεων αποτελούν προτεραιότητα για την υποστήριξη ασθενών με βρογχοπνευμονική δυσπλασία. Λόγω του αυξημένου κινδύνου λοιμώξεων του αναπνευστικού, συνήθως συστήνονται εμβολιασμοί και προφυλακτική αγωγή.

Πρόγνωση και μακροπρόθεσμες συνέπειες

Η έκβαση για τα βρέφη εξαρτάται από τη βαρύτητα της κατάστασης και την παρουσία άλλων προβλημάτων υγείας. Μερικά παιδιά μπορεί να παρουσιάσουν σημαντική βελτίωση και να ξεπεράσουν πολλά από τα αναπνευστικά ζητήματα, ενώ άλλα ίσως να συνεχίσουν να αντιμετωπίζουν χρόνιες προκλήσεις.

Παράγοντες που επηρεάζουν την πρόγνωση

  • Έκταση και σοβαρότητα της βλάβης στους πνεύμονες και του σχηματισμού ουλών, που επηρεάζει έντονα την πορεία της νόσου.
  • Η ηλικία κύησης και το βάρος κατά τη γέννηση: Όσο χαμηλότερη η ηλικία κύησης και το βάρος, τόσο αυξάνεται ο κίνδυνος σοβαρών επιπλοκών.
  • Παρουσία δυσμενών συνοδών καταστάσεων, όπως η πνευμονική υπέρταση, που μπορεί να επιδεινώσουν την πρόγνωση.

Μακροπρόθεσμη παρακολούθηση

Η μακροχρόνια φροντίδα περιλαμβάνει τακτικές επισκέψεις σε επαγγελματίες υγείας για παρακολούθηση της αναπνευστικής λειτουργίας, της σωματικής ανάπτυξης και της γενικής προόδου. Σε ορισμένες περιπτώσεις, μπορεί να χρειαστεί συνεχιζόμενη αναπνευστική υποστήριξη, φαρμακευτική αγωγή ή διατροφικές παρεμβάσεις κατά την παιδική ηλικία.

Τα σχόλια είναι κλειστά.